

Aqui oferecemos mais do que tratamentos odontológicos. Entregamos autoestima, funcionalidade e tranquilidade para você sorrir com orgulho todos os dias.
*Não atendemos planos de saúde

Na Gama Odonto, entendemos que cada sorriso é único. Por isso, unimos estrutura moderna, equipe altamente capacitada e um atendimento focado em você para oferecer soluções que aliam estética, funcionalidade e bem-estar.
Desde o primeiro contato, você vai perceber a diferença: aqui, você é tratado com respeito, escuta ativa e compromisso com o resultado.





Somos uma clínica odontológica que une o melhor da tecnologia com um atendimento verdadeiramente humano. Nossa equipe é formada por profissionais experientes e atualizados, prontos para oferecer soluções completas em todas as especialidades da odontologia.
Aqui, cada detalhe importa: desde o ambiente até o planejamento do seu tratamento. Porque cuidar do seu sorriso é também cuidar da sua história.
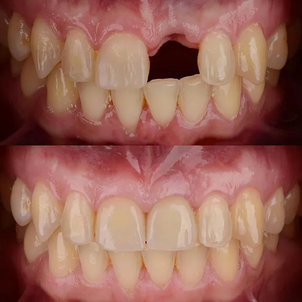
Ortodontia • Estética • Prótese • Cirurgia Oral Menor • Clínica Geral • Comprometido com excelência e tratamentos personalizados para saúde, função e beleza do sorriso.
Ortodontia • Cirurgia Oral Menor • Clínica Geral • Prótese • Dentística Restauradora • Dedicada a cuidar de cada sorriso com precisão, delicadeza e uma visão humanizada da odontologia.

















Profissionais especializados nas principais áreas da odontologia, trabalhando de forma integrada para oferecer o melhor resultado.
Ambiente confortável, equipamentos de ponta e tecnologia digital para diagnósticos precisos e tratamentos eficazes.
Escutamos você de verdade. Nosso plano de tratamento é pensado com empatia, respeito e foco nos seus objetivos.
Comunicamos cada passo do processo com clareza. Você entende o que será feito, por que será feito e quais os resultados esperados.
Condições acessíveis e formas de pagamento facilitadas para você investir na sua saúde bucal sem comprometer seu orçamento.
Publicado em Naylla CostaTrustindex verifica se a fonte original da avaliação é Google. Recomendo demais! Profissionais de qualidade e super acolhedores, até a música da tv do consultório a dra me deixou escolher. Fora que os preços são super acessíveis.Publicado em Laryssa LorennTrustindex verifica se a fonte original da avaliação é Google. Excelente atendimento, profissionais capacitados e ambiente muito agradável. Recomendo para quem procura qualidade e segurança.Publicado em Elias RibeiroTrustindex verifica se a fonte original da avaliação é Google. Atendimento excelente, dr. gabriel um excelente profissional!Publicado em Maria BorgesTrustindex verifica se a fonte original da avaliação é Google. Excelente atendimentoPublicado em isamara moura isamaraTrustindex verifica se a fonte original da avaliação é Google. Amando o atendimento da Dra Romana!!! Meu tratamento está excelentePublicado em lucilene oliveira souzaTrustindex verifica se a fonte original da avaliação é Google. É uma excelente profissional super recomendo .Publicado em Flora SilvaTrustindex verifica se a fonte original da avaliação é Google. Atendimento maravilhoso da recepção ao consultório Doutora Mariana excelente profissional. Estão de parabéns 👏Publicado em ana calixtoTrustindex verifica se a fonte original da avaliação é Google. Muito bom o atendimentoPublicado em Jaciara KanandaTrustindex verifica se a fonte original da avaliação é Google. São os melhores ! Atendimento excelente ! O melhor dentista de São Luís Gabriel RibeiroPublicado em Vinicius MoraesTrustindex verifica se a fonte original da avaliação é Google. Atendimento excelente e clínica muito confortável!
Você já sabe o que está te incomodando. A diferença é que agora você tem com quem contar para mudar essa realidade.
Agende sua avaliação na Gama Odonto e descubra como podemos devolver a beleza, a funcionalidade e a confiança que você merece.
De forma alguma. Utilizamos técnicas e materiais que valorizam a naturalidade do seu sorriso, sem exageros.
Sim. Temos equipe multidisciplinar pronta para tratar desde casos simples até transformações completas com planejamento digital.
Muito! Nosso ambiente é pensado para acolher. Explicamos tudo com calma, respeitamos seu tempo e garantimos o máximo de conforto.
Oferecemos condições especiais para avaliação inicial. Entre em contato pelo WhatsApp e veja como agendar.
Depende do caso, mas em muitos procedimentos você já percebe a diferença nas primeiras sessões. Cada tratamento é planejado de forma personalizada.